Duke WINNers to walk in memory of Michelle Winn
The Division of Nephrology invites all faculty, trainees and staff to join its team – called the “Duke WINNers” – at the annual
Q & A with Bryan Batch: “Moving everyone toward better health”
Bryan C. Batch, MD, assistant professor of medicine (Endocrinology, Metabolism and Nutrition), has a particular interest in racial disparities related to overweight, obesity, and diabetes. Read this Q&A about her research and Duke opportunities to collaborate.
Richard Krasuski to return to Duke Cardiology
Richard Krasuski, MD, a former Duke Cardiology fellow, will join the Division of Cardiology in July, announced Joseph Rogers, MD, interim chief of the division. Dr. Krasuski completed his cardiology fellowship at Duke. He currently runs the Adults with Congenital Heart Disease Program at the Cleveland Clinic.
Ravi Karra investigates heart regeneration in zebrafish
Ravi Karra, MD, medical instructor in the Division of Cardiology, is a co-author of a recent article about heart regeneration in zebrafish. He also leads a clinical trial studying neuregulin in heart failure patients.
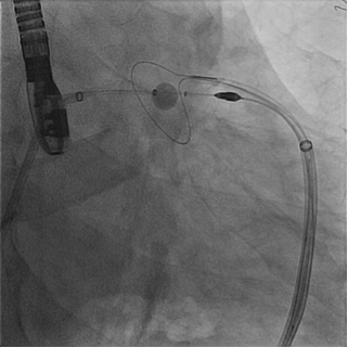
Kevin Jackson uses LARIAT suture delivery device
Kevin Jackson, MD, assistant professor of medicine (Cardiology), recently performed the first left atrial appendage occlusion with the LARIAT suture delivery device at Duke University Hospital.
Philanthropies announce new program to support early-career scientists
Three of the nation’s largest philanthropies – the Howard Hughes Medical Institute, the Bill & Melinda Gates Foundation, and the Simons Foundation – have announced a new partnership to provide much needed research support to outstanding early-career scientists in the United States.
Through the new Faculty Scholars Program, the philanthropies will invest a total of $148 million in research support over the program’s first five years.
Recently published: Hamilton’s history of Duke Infectious Diseases
John Hamilton, MD, professor emeritus of medicine (Infectious Diseases), has recently published his book "The History of Infectious Diseases at Duke in the Twentieth Century."
Klotman awarded 5-year program project grant from NIAID
The National Institutes of Health has awarded a research program project grant to Mary Klotman, MD, professor of medicine (Infectious Diseases). The award will last five years, and will total more than $9 million.
The program project, "Integrase Defective Lentiviral Vector (IDLV)-ENV Immunogen Strategy for an HIV Vaccine," is supported by the National Institute Of Allergy and Infectious Diseases under award number P01AI110485.
New funding awards - March 2015
Department of Medicine faculty have received notice of the following research, clinical trials, CME or other training awards.
Tulsky to lead psychosocial oncology and palliative care department at Dana Farber Cancer Institute
James A. Tulsky, MD, chief of Duke Palliative Care and professor of medicine and nursing, has accepted a position as chair of the Department of Psychosocial Oncology and Palliative Care at Dana Farber Cancer Institute. He will continue to work at Duke until July 3, before assuming the new position on Sept. 1.